- Home
- Departments
- Prosthodontics Department


Prosthodontics Department
- We conduct a range of tests to help us work out why you're not feeling well and determine the right treatment for you.
- Our expert doctors, nurses and allied health professionals manage patients with a broad range of medical issues.
on 7541 reviews.
Overview
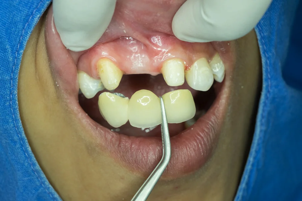
The Prosthodontics Department specializes in restoring dental function and aesthetics using advanced and diverse solutions. The department aims to meet patients’ needs by providing comprehensive and personalized care, focusing on comfort and quality.
The Prosthodontics Department plays a crucial role in improving patients’ quality of life through restoring missing or damaged teeth. Fixed, removable, and direct CAM-CAD restorations offer comprehensive solutions to maintain natural oral function and enhance aesthetics.
1- Fixed Prosthodontics:
- Procedures: Includes the placement of crowns and fixed bridges permanently affixed to adjacent teeth or dental implants.
- Benefits: Provides a permanent and stable solution for replacing missing teeth and improving oral function.


2- Removable Prosthodontics:
- Procedures: Involves designing and fitting removable dentures that can be taken out and reinserted by the patient.
- Benefits: Offers flexibility, ease of use, and daily cleaning convenience.


3- Direct CAM-CAD Restorations:
- Procedures: Utilizes CAD-CAM technologies to design and manufacture dental restorations directly within the clinic.
- Benefits: Provides precise and integrated restorations quickly, facilitating immediate treatment for patients.


4- Fixed Restorations:
- Procedures: Includes the design and placement of fixed crowns and bridges that are permanently affixed.
- Benefits: Offers a permanent and stable solution for replacing missing teeth and enhancing oral function.


Health Tips & Info
We help create a care plan that addresses your specific condition and we are here to answer all of your questions & acknowledge your concerns. Today the hospital is recognised as a world renowned institution, not only providing outstanding care and treatment, but improving the outcomes.
Meet Our Doctors
Our administration and support staff all have exceptional people skills and trained to assist you with all medical enquiries. Doctors will be available from 8 am : 12 am , kindly call to confirm your Appointment.
Quick Contacts
Please feel welcome to contact our friendly reception staff with any general or medical enquiry call us.




